人に優しいハイスペックCTでより確かな歯科治療をご提供します
当院では、より確かな歯科治療を提供するために、京セラメディカルの新しいレントゲン「PreVista i3D」を導入しました。
PreVista i3Dは、症状に応じて部分的な箇所から顎関節を含めた広い範囲までの撮影が可能で、インプラント、歯内療法、矯正治療など幅広い歯科診療をカバーします。
機能と特徴
撮影時間の短縮を実現
CT撮影時間5.9秒で大幅に被曝量を抑え、京セラメディカル従来機種に比べ、75%を実現しました。

ワンショットセファロ(頭部X線規格)には、高感度のフラットパネルを採用したことにより、0.9秒で撮影が可能になりました。

対面操作でスムーズな治療環境を
患者様と対面して撮影準備が可能で、より的確な位置付けができ、よりスムーズな撮影が可能になりました。
自動締付による頭部固定
自動締付による頭部固定採用により、短時間の撮影を可能にし、お子様や高齢者など患者様の動きによるブレを少なくし、モーションアーチファクト(被写体が動くことで発生する撮影画像への障害)の減少と画質向上が可能になりました。

Shoot mode-撮影モード-
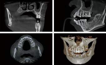
CT:さらに鮮明に、顎骨までカバーできる広範囲の撮影が可能に
CTセンサー(FPD)とパノラマセンサー(CMOS)の自動切替、頭部の自動固定を採用によりモーションアーチファクトの減少。CT撮影時間も最少5.9秒と大幅に被曝量を抑えながらマルチFOV(fieldofview=撮影視野)機能により5×5cmから最大16×10cmの高品質画像を実現した、多岐にわたる歯科治療を支援する機器です。

Panorama:パノラマ画像に適した機能を搭載
CT撮影だけでなく、パノラマ撮影も可能でインプラントのみならず、様々な歯科診療でより正確で安心な診断が可能になりました。
Cephalo:スキャンタイプ、ワンショットタイプを選択可能に
セファロ(頭部X線規格写真)はスキャンタイプと撮影時間の短いワンショットを選択して行います。モーションアーチファクトの少ない鮮明な画像診断を行うことができます。

