矯正治療

一人ひとりに適切な審美治療をご提案します

【豊富な矯正治療】
本格矯正、裏側矯正、ハーフリンガル、マウスピース矯正、スピード矯正など様々な矯正治療をその方に合った治療方法を選択しご提供しております。
  • 見た目の歯並びが気になり、治したい
  • 前歯の歯並びが気になり、治したい
  • 噛み合わせが気になり、治したい
  • 出っ歯を治したい 乱ぐい歯を治したい
  • 八重歯を治したい 受け口を治したい
  • 歯の形そのものが気になり、治したい
  • 歯の隙間が気になり、治したい
  • 矯正治療をすでに受けているが、見た目が悪いのをどうにかしたい
  • 取り外しができないので食事がしにくい。しゃべりにくい

歯並びに関するお悩みは様々です。既に矯正歯科治療を受けられている方も悩みを持っています。こうした悩みに対して、ナチュラルスマイルデンタルクリニックでは解決のご提案を致します。

ナチュスマの矯正歯科治療は様々な状態やご希望に応えます

ナチュラルスマイルデンタルクリニックでは、患者様の状態やご要望に応じた矯正歯科治療をご提案いたします。

表側からの矯正

表側からのワイヤー矯正には目立たない「審美ブラケット」で治療を行います。
白や透明色の目立たない審美ブラケットを使用します。金属(メタル)のブラケットより目立ちませんが、表側に装着しますので装置自体は見えます。
※金属(メタル)をご希望の方はお申し付けください。

裏側からの矯正

裏側の矯正は「見えない矯正治療(舌側矯正)」になります。
歯の裏側に装着しますので他人には分かりません。但し、裏側に装着することで舌が触れるため、慣れるまで違和感があります。
表側矯正と比べて、少し期間が長くかかり、歯の裏側への治療のため1回の治療時間も多少長くなります。

ハーフリンガル

表側矯正と裏側矯正を併用した治療方法です。
上顎の歯には裏側、下顎の歯には表側に装置を装着します。他人に見えやすい上顎は裏側に装着することで目立たなくなります。
舌があたりやすい下顎は表側に装着することで違和感が少なくなります。

マウスピース矯正

ワイヤーやブラケットを使用せず、透明なマウスピース型の装置を使用する矯正治療法をマウスピース矯正といいます。
マウスピースは取り外しが可能で透明なため、他人にも分かりません。ただ、装着時間などを守らないと効果が得られないことや適応される症状が限られます。

スピード矯正

簡単な凸凹の歯や先天的に歯並び悪い方にはスピード矯正をご提案できます。 適応される症状が限られること、患者様それぞれで治療方法が異なるため入念なカウンセリングが必要になります。 治療期間が短く、他の矯正治療と比べて費用も抑えられるため、隙間や色だけが気になる方、歯の形自体に問題がある方にはおすすめです。

ナチュスマの矯正歯科治療の特徴

当院では、日本歯科審美学会、日本顎咬合学会、日本舌側矯正学会といった学会に所属し、矯正歯科領域のスタディーグループ(研究会)やセミナーにも所属・参加し、学術発表なども行って参りました。常に新しい矯正歯科治療を学び、より良い矯正治療をご提供するよう取り組んでいます。

当院では、インフォームドコンセントを重要な位置づけとしています。患者様の訴えや希望をよく理解し、また逆に患者様には症状や治療方法の説明を丁寧に行いご理解を深めていただく。十分な話し合いと患者様ご自身が納得をいただいた上での治療を行っております。これは開業以来変わらぬ当院の取り組みになります。

矯正歯科の基本知識

矯正歯科とは

矯正歯科治療とは、咬み合わせの悪い歯並びをきれいに治す治療のことを言います。ただキレイな歯並びに改善をするだけではなく、虫歯、歯槽膿漏、咀嚼(そしゃく)障害、発音障害等の病気を予防するためにも重要な治療です。
歯並びが整うことで、歯のガタツキがなくなり虫歯や歯槽膿漏の原因となるプラークが付きにくくなることで、歯の寿命を延ばすという予防的な効果もあります。
治療法としては口の中に装置を入れ、歯に一定の力をかけて人工的に動かし、悪い歯並びや咬み合わせを治していきます。

不正咬合(ふせいこうごう)

歯と骨が、口腔とその周辺組織の基礎を形作ります。この枠組みがきちんとした配列になっていないこと、つまりは歯並びが悪いことを不正咬合と言います。
不正咬合の原因はさまざまですが、遺伝、虫歯・歯周病、生活習慣、病気等があります。不正咬合は審美的な問題だけでなく、二次的に生じる影響はとても大きいのです。不正咬合が原因で、頭痛から聴覚障害までのさまざまな問題、食物の消化にも問題が生じ、心身にさまざまな悪影響を及ぼします。
不正咬合に対して、良い歯並び・良い咬み合わせを正常咬合と言います。

過蓋咬合(かがいこうごう)

過蓋咬合

顔面の容貌にもっとも悪影響を及ぼす咬合障害の一つが過蓋咬合です。上の前歯が下の前歯をほぼ完全に覆ってしまう状態のことです。

空隙歯列弓(くうげきしれつきゅう)

過蓋咬合

すきっ歯と言われる歯並びです。アゴが大きい、アゴに対して歯の幅が小さい場合に起きます。

叢生(そうせい)

叢生

八重歯・乱杭歯(らんぐいし)と言われる歯並びです。
歯の大きさに対してアゴが小さく、歯が並ぶ十分なスペースがない場合に起こります。歯が重なり合っているため、磨き残しになりやすく虫歯や歯周病の原因となります。

開咬(かいこう)

開咬

奥歯を咬み合わせても、上下の前歯が閉じない状態を開咬と言います。開咬は、前歯で食物を咬むのが困難で、正しい発音もできません。

上顎前突(じょうがくぜんとつ)

上顎前突

出っ歯と言われる歯並びです。上の歯や歯列全体が前方に突き出ている為、前歯が折れたり、唇を閉じることができなかったり、唇を切ったりしやすくなります。

下顎前突(かがくぜんとつ)

下顎前突

受け口と言われる歯並びです。下の歯が上の歯に覆いかぶさり下顎が前突し、しゃくれた顔つきとなります。歯の咬み合わせが逆になっているため、反対咬合とも呼ばれます。

切端咬合(せったんこうごう)

前歯の上下の先端どうしが真っ直ぐに咬み合っている状態です。

矯正歯科治療の流れ

1初診相談
来院時に記入していただく問診表をもとに口腔中を診察し、不安や疑問にお答えします。
2精密検査
診断と治療計画に必要な、歯と顔の写真およびレントゲン、歯列の模型を作るための型取り、症例によってはアゴ関節のレントゲン写真やアゴの動きの検査をします。
3診断
精密検査の結果をもとに、治療計画・治療方法、治療期間、治療費等の説明があります。
4治療開始
矯正を始める前に、まず治療しておかなければならない虫歯等の治療を行います。患者様ひとりひとりに合わせた治療計画に従い、矯正装置を装着し、歯の移動が完了したら矯正装置を外します。動かした歯が元に戻らないよう支えて保護する為の保定装置を装着します。動かした歯が完全に固定されれば、矯正治療も終了です。矯正治療終了後も、定期的な検診は必ずお受け下さい。

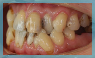
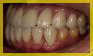
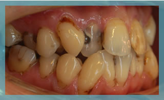
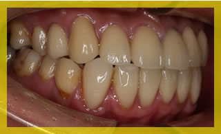
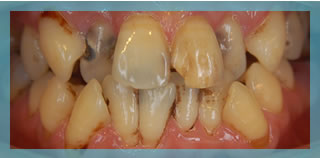
治療例

Before
After
Before
After
Before
After
術式名
スピード矯正(セラミック矯正)
費用
79,200円×14本=1,108,800円
リスク・副作用
虫歯が大きい場合、神経の治療が必要になる場合があります。神経の治療をすると、歯が弱くなってしまう可能性があります。

費用のご案内

表示価格は全て税込になります。

初診 (カウンセリング) 無料
精密検査 33,000円
検査内容:顔貌写真・口腔内写真・顎機能検査・CT撮影・セファロ(側・正)・4分画・フェースボウ etc

治療費/矯正基本料

表側からの矯正
(審美ブラケット)
418,000円(両あご合計)
裏側からの矯正 880,000円(両あご合計)
ハーフリンガル
(上顎裏側、下顎表側)
649,000円(両あご合計)
マウスピース矯正
(クリアアライナー矯正)
385,000円

上顎のみ、下顎のみ、上下顎ともに同じ費用になります。
治療の期間は3年間までになります。
3年以上治療が必要な場合、別途費用が必要になります。
  • 口腔内検査
  • 精密検査 16,500円
    (模型検査・レントゲン検査(セファロ)・口腔内写真)
  • クリアアライナー矯正は、必ず精密検査が必要になります。
  • 調整費(再診料)1回1,000円
    (咬合調整、ディスキング含むが、必要な時は1回2,000円)
  • 矯正終了後のリテーナー(ワイヤー)の料金は含まれます。
    ※再セットアップが必要な場合、検査代として1回5,000円
    アライナーを紛失や破損した場合は別途再製作料がかかります。(再製作料金は片顎5,000円)

※表側の矯正装置は、前歯部分は全てセラミックスブラケットになります。
小臼歯にセラミックスブラケットをご希望の場合1ヶ所1万円追加費用が必要になります。
例)上下左右小臼歯の4ヶ所セラミックスの場合4万円追加

調整費(再診料)
約1ヵ月に1回
表の矯正:2,500円
ハーフリンガル:3,500円
舌側矯正:4,500円
(土曜日、日曜日、祝日の調整費は+1,000円)
その他の費用
※保険診療を行う場合は矯正治療と別日の予約が必要になります。
口腔内検査(口腔内の状態によっては健康保険で検査を行う場合があります)
親知らずの抜歯:大学病院で抜歯する場合、1本25,000円程かかる場合があります。
虫歯の治療:健康保険で治療が行えます。
歯石の除去など:健康保険で治療を行います。
矯正終了後の検診:1回10,000円
虫歯等の治療が必要な場合、健康保険で治療を行います。
保定装置 1回目の保定の費用は無料(2回目より実費になります)
治療オプション 白ワイヤー:1本 3,300円
アンカーインプラント:1本 33,000円
小臼歯抜歯:1本 5,500円
特殊装置:22,000~55,000円
診療カレンダー
2026年 4月
29
30
31
1
2
3
4
5
6
7
8
9
10
11
12
13
14
15
16
17
18
19
20
21
22
23
24
25
26
27
28
29
30
1
2

休診日

日祝診療 11:00~17:30(休憩時間 14:30~15:00)

PAGE TOP
フリーダイヤル
0120-11-8273
初診治療相談WEB予約お急ぎの方はお電話ください。